近日,口腔医院病理科的临床案例《上颌骨中心性透明细胞型黏液表皮样癌1例》被《中国临床案例成果数据库》收录,同时被中国科协评选为优秀案例。本次遴选认定的500篇优秀案例是经过专家两轮评议,从全国4000余篇病例报告中选出的。


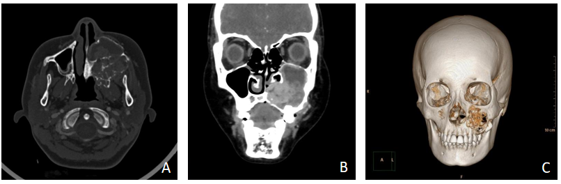
《上颌骨中心性透明细胞型黏液表皮样癌1例》为13岁女性患者,因“左侧面部肿胀2月”入院。影像学提示该病例为左侧上颌窦及上牙槽区病变,多考虑恶性,造釉细胞癌可能性大。术前在口腔医院病理科行细针穿刺检查,镜下见少量细胞团,细胞体积稍大,胞浆淡染,诊断为(左上颌骨)不排除肿瘤可能。术后结合HE形态及免疫组化染色、特殊染色,诊断为(左上颌骨)透明细胞型黏液表皮样癌。
黏液表皮样癌是一种常见的唾液腺恶性肿瘤。但是发生在颌骨的黏液表皮样癌非常少见,而透明细胞型更是一种罕见的组织学类型。目前,仅查到4例颌骨中心性透明细胞型黏液表皮样癌的报道,且均为男性。本次案例内容详实、图片丰富,加深了临床及病理医师对这一疑难病例的认知。

图 1 影像资料

图 2 病理资料
《中国临床案例成果数据库》是由中国科协资助、中华医学会杂志社承建的国家级大型临床案例成果发布平台,致力于推进基于案例成果的基层医疗工作者学术成果评价能力建设。该数据库突出实践性、科学性、典型性、创新性、共享性,以临床案例成果整理,进一步规范常见病、多发病的诊断、治疗、随访,提高基层医疗整体水平,推动医疗均质化。
本次优秀案例的入选彰显了口腔医院病理科在头颈部肿瘤,尤其是唾液腺肿瘤的病理诊断水平。目前病理科已成功开展分子病理诊断项目,为精准诊断、疑难会诊、精准治疗提供可能,今后将继续保持与临床的密切联系,引进先进的国内外病理技术,努力提高诊断水平,为临床的精准治疗提供更加精准的病理诊断。