近年来,心血管外科领域一直专注于手术微创化,做到精益求精,从而让越来越多的心脏疾病患者能够以最小的创伤获得最优的临床疗效。近日,西安交大二附院高峰主任团队在导管手术室、麻醉科、超声科等密切配合下顺利完成了一例胸腔镜下微创二尖瓣成形术,小切口、不断骨、不换瓣,让患者重获“心”门。此术式的开展,标志着二附院心血管外科在心脏微创手术领域已达到国内领先水平。
70岁的王先生,4年前无明显诱因间断出现活动后胸闷、气短不适,休息后有所缓解,患者一直未予重视,上述症状较前逐渐加重,让王先生明显觉得力不从心,就诊于当地医院,诊断为“二尖瓣脱垂二尖瓣大量返流”,建议行开胸心脏手术。由于患者有多年高血压及肺气肿病史,曾患脑梗,有甲状腺肿瘤甲状腺切除术及胆囊切除史,身体基础条件差,手术风险较大,建议转至西安大医院治疗。针对二尖瓣大量反流的病人来说,人工二尖瓣置换术是非常成熟且有效的治疗方法。王先生及家属前后咨询了多家医院,基本上都建议行人工瓣膜置换术,由于他的基础病史和多次手术史,让他本人及子女们对传统心脏开胸手术大切口的创伤及术后恢复充满了顾虑和担忧。经过多方打听,王先生慕名来到交大二附院心血管外科,抱着试试的态度咨询高峰主任,“我们不用开大口子,不用换瓣膜,可以修好它”,高主任的话让王先生和家人重新看到了希望。

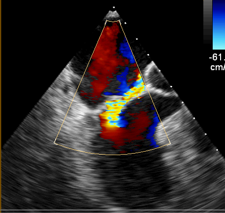
术前超声
经过积极完善术前检查,心脏超声提示二尖瓣后叶脱垂(P2区),偏心反流(3+—4+级),三尖瓣少量反流,目前最严重的就是二尖瓣这扇“门”,如果不及时处理,患者很快就会出现心衰,甚至危及生命,考虑患者高龄,同时不愿接受人工瓣膜置换,高峰主任团队经过缜密研究和充分评估,认为患者有微创手术瓣膜成形的条件,可以通过该术式解决这个大难题。相较于瓣膜置换术,瓣膜成形对主刀医生在术中的精细操作与精准判断提出更高的要求。而微创手术,减少了术中的牵拉和损伤,术后胸骨完整性得以保留,具有创伤小、出血少、恢复快,对术后美观和呼吸功能具有显著优势。在兄弟科室的密切配合下,仅用3个多小时,高峰主任团队通过右侧肋间一个5厘米的小口子,成功对损坏的二尖瓣进行了修复重建,心脏复跳后复查心脏超声,二尖瓣微量返流,手术效果满意。患者安返心外科监护室,在医护人员的精心照护下,患者恢复良好,第二日转回普通病房进一步康复治疗。


谈到心脏手术,大家的第一印象就是开胸劈骨,十分暴力,随着微创技术的不断发展,人们对心脏手术也提出了更高的要求——小切口、不破坏胸骨、创伤小、恢复快等。而心脏微创技术经过不断的发展和改进,完全满足不破坏胸骨的完整性,切口小而美观,减少术中出血,减少术后疼痛和创伤,缩短手术时间,减少住院时间,使患者获益最大化。但与传统正中开胸手术相比,手术视野小,操作空间受限,对外科医生的技术要求更高。
西安交大二附院心血管外科高峰主任团队在心脏微创小切口领域经验非常丰富,长期致力于运用创伤最小化、疗效最大化的手术理念,为越来越多的重症疑难心脏疾病患者带来诊治希望。这次二尖瓣成形术的顺利开展,标志着医院心外科在微创心脏手术领域更加成熟,未来我们将继续奋楫笃行,推动学科高质量发展。